EUA: Após dor de cabeça constante, homem descobre que tinha larvas de tênia no cérebro

American Journal of Case Reports via CNN Newsource
Um homem, 52 anos, começou a ter muitas dores de cabeça, que ficavam cada vez piores. Os médicos descobriram que ele tinha larvas de tênia em seu cérebro e acreditam que ele pegou foi infectado porque comia bacon mal cozido. O caso aconteceu na Flórida, Estados Unidos e a história foi revelada por um estudo recente.
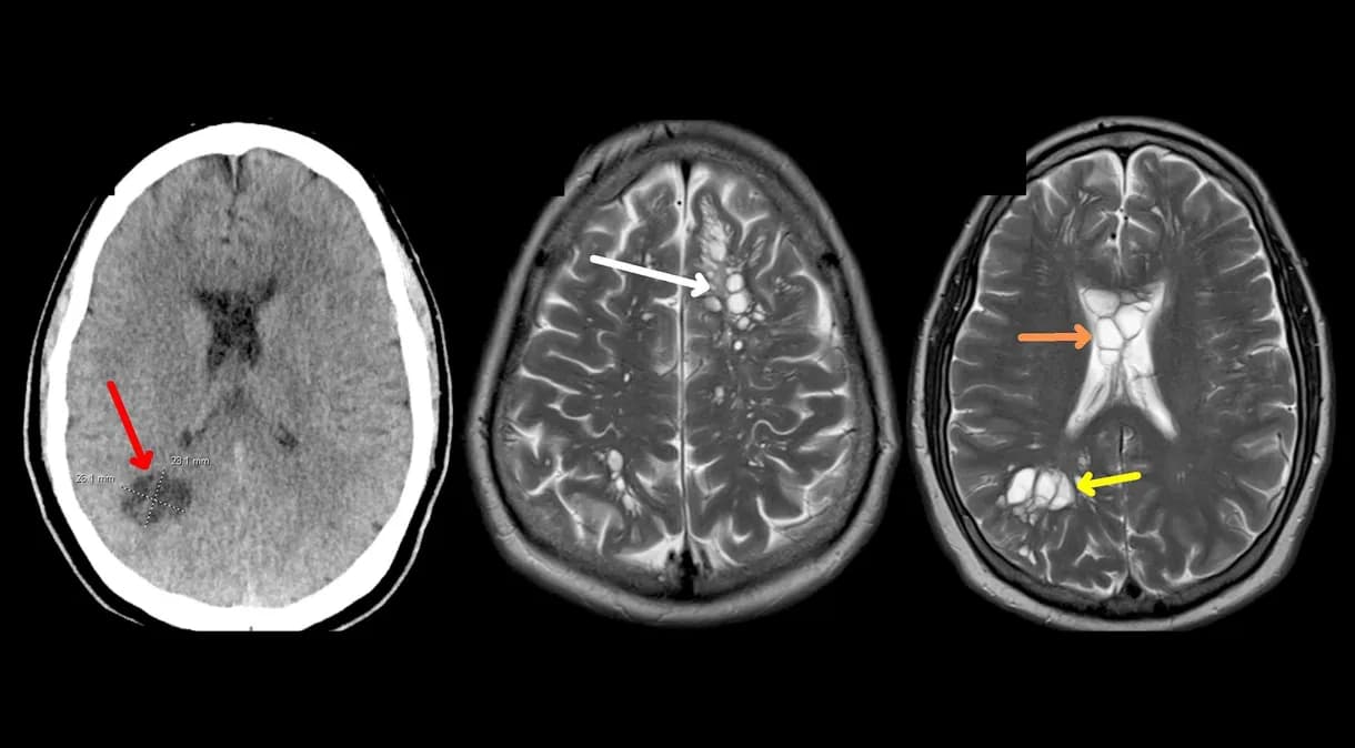
O homem foi ao médico porque suas dores de cabeça estavam ficando muito fortes e frequentes, acontecendo quase toda semana. E o remédio para dor de cabeça não estava ajudando. Quando fizeram um exame de imagem do cérebro dele, viram muitos cistos, que são como bolsinhas cheias de líquido.
Leia também:
Estados Unidos: Mulher aplica golpe em posto e furta 28 mil litros de gasolina
Câmara examina projeto de lei que pode proibir TikTok nos Estados Unidos
A princípio, os médicos pensaram que ele poderia ter uma doença rara no cérebro e o mandaram para um hospital em Orlando para ser consultado por um especialista. Mas, depois de exames específicos, eles perceberam que havia uma infecção causada por larvas de tênia no cérebro, uma doença chamada neurocisticercose.
Essa doença acontece quando uma pessoa come ovos de tênia, que podem estar nas fezes de alguém com a tênia no intestino. Esses ovos se transformam em larvas que podem ir para o cérebro, músculos ou outros lugares do corpo.
A neurocisticercose é comum em lugares onde as pessoas vivem perto de porcos e não tem muito saneamento, e pode causar convulsões. Mas o homem da Flórida não tinha ido para nenhum lugar assim, nem vivia perto de porcos, nem em lugar sem saneamento. O que ele fez durante muito tempo foi comer bacon que não estava bem passado.
Os médicos acreditam que ele mesmo se infectou. Talvez ele tenha pego a tênia depois de comer o bacon mal passado e, sem lavar as mãos direito, acabou engolindo ovos de tênia que ele mesmo tinha eliminado.
Depois de descobrir o problema, o homem foi tratado com remédios para tirar os parasitas e as dores de cabeça dele passaram. Os cistos no cérebro dele também diminuíram.
A doença é rara nos Estados Unidos e dá para evitar. Os especialistas dizem para cozinhar bem a carne e lavar as mãos direitinho, especialmente depois de usar o banheiro e antes de mexer com comida.
*Com informações CNN






