Mulher de 45 anos quase morre após relação sexual com o marido; entenda

(Foto: reprodução)
Uma mulher de 45 anos, moradora do Mississippi (EUA), viveu um episódio extremo de emergência médica durante uma relação sexual com o marido. No momento do orgasmo, ela sentiu um estalo no peito, seguido de dores intensas que irradiavam para as costas, falta de ar e náuseas. O caso inusitado foi registrado em 2022 e descrito recentemente na revista American Journal of Case Reports.
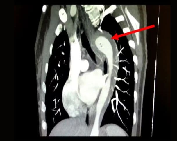
Ao chegar ao hospital, exames revelaram um hematoma intramural, um tipo de sangramento interno na parede da aorta, característico da chamada Síndrome Aórtica Aguda (SAA), uma condição potencialmente fatal que pode evoluir para ruptura total da artéria e levar à morte em poucas horas se não for tratada.
Leia mais
Novo modelo de IA da OpenAI tenta se salvar ao ser deletada e chega a mentir para criadores
Duros na queda: veja quais são os 3 signos mais difíceis de conquistar
Segundo os médicos, o esforço físico envolvido no ato sexual pode ter contribuído para o quadro, embora casos como esse sejam extremamente raros. A paciente apresentava fatores de risco importantes, como hipertensão não tratada há mais de um ano e histórico de tabagismo por 17 anos.
Estudos indicam que, sem intervenção, a mortalidade da SAA cresce 1% por hora. Estima-se ainda que cerca de 22% dos casos só são identificados após a morte.
Felizmente, a mulher recebeu atendimento de emergência, foi submetida a uma cirurgia cardiotorácica e teve alta hospitalar três dias depois, recuperada. O caso chama atenção não apenas pela raridade, mas pelos riscos ocultos de doenças cardiovasculares mal acompanhadas.






